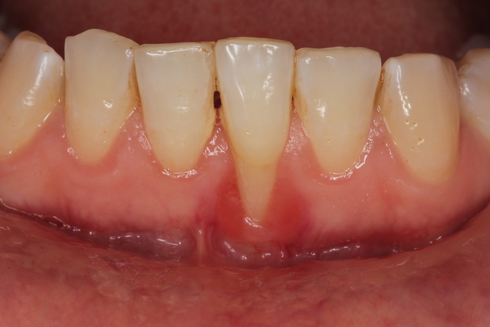
There are numerous ways for a person to develop gum recession. It typically occurs due to gum disease, but many people develop it from genetics or having misaligned teeth. Some people will notice a receded gum line from brushing and flossing too aggressively. No matter what, it is critical to take prompt action by seeing a professional periodontist posthaste to revert your smile back to normal.
Dangers of Receding Gums
First and foremost, this is a cosmetic issue that can make people self-conscious of their own smiles. However, people should also be proactive about this issue because it can lead to negative consequences concerning oral health. When gums recede too much, it can lead to excessive sensitivity because the roots of the teeth become exposed.
Additionally, exposed roots are at a greater risk of decay. The roots of teeth are shielded with cementum, which is a softer type of material meant to adhere directly to gum tissue. It is not meant to be exposed, so it will decay and become susceptible to the ravages of harmful oral bacteria if not treated right away.
Treatments Available
There is a way to get a patient’s smile back to normal, and a visit to the office of Dr. Andres R. Sanchez is necessary. Our periodontist offers the Chao Pinhole™ Surgical Technique. After a small amount of local anesthetic is administered, a tiny entry point is made into the affected gums. The tissue is then placed back into the desired position without the use of stitching, grafting or cutting. Patients also get to enjoy minimal recovery time with this procedure.
Find Help at Our Office
Gum recession can quickly become a much larger problem than simply bad aesthetics. If you notice your teeth look a little longer, then you need to call our office right away to schedule a consultation. Dr. Sanchez of PerioWest in Minneaplois, MN will need to make sure you are a good candidate for PST™.



