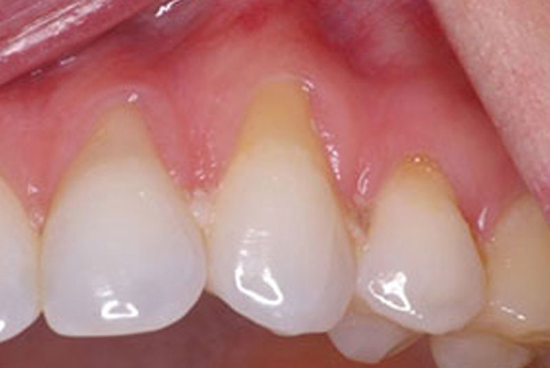
Normally, gum tissue surrounds and protects the delicate roots of your teeth. Exposed tooth roots are prone to tooth decay, root decay, discoloration and actual jawbone loss. All of this can lead to tooth loss in advanced cases.
Functional Soft Tissue Grafting replaces the missing gum tissue and protects your teeth. For this reason, soft tissue grafting may be recommended even for back teeth.

In addition to the functional problems previously mentioned, receding gums can look unsightly.
Longer looking teeth and exposed tooth roots cause your face to develop an older appearance. Some people cover their mouths when they smile for this very reason.
Cosmetic Soft Tissue Grafting can add a new youthful appearance to your smile. In your initial consultation, Dr. Sanchez will thoroughly explain what can be achieved in your particular case.
© All rights reserved | Privacy Policy | HIPAA